Smile Gallery
Whatever your dental needs are, we can help you! Please browse through our smile gallery to see how we've helped some of our patients.


This patient came to us after the pandemic with a chief complaint of "I want to fix my smile." She is currently a graduate student who also also teaches. After a lengthy conversation to uncover her desires and values, we came up with a treatment plan. There were three spaced out planning visits and Dr. Singh and Veronica recently delivered the patient's new smile. As you can see, she can't stop smiling!


This patient presented to our Ahwatukee office recently with a chief complain of "broken smile". She has been taking care of her elderly parents and putting her needs last. She realized there were several issues she needed to handle but her main concern was the front teeth which had broken off and fractured. We talked about how it is important to have back teeth to support the weight of a bite; the patient understood this and elected to start address her functional and cosmetic situation on the front before moving on to the back teeth. What you see is the ...


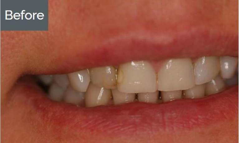
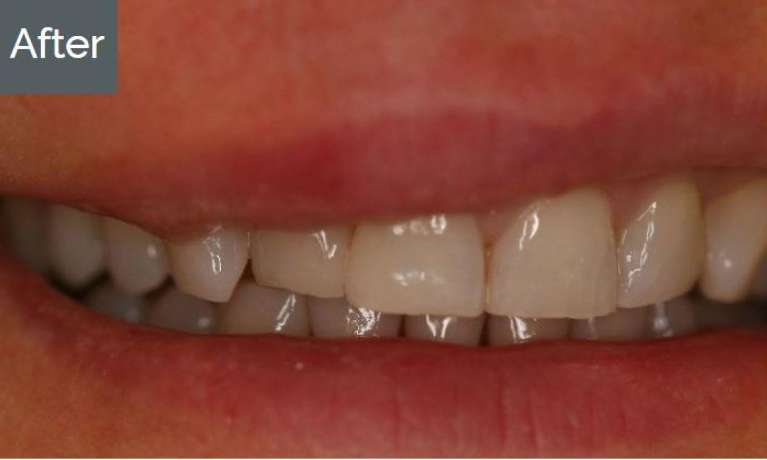
This patient presented to our practice for a smile makeover that would "look natural, not perfect". Dr. Pruthi initially focused on what was causing her teeth to break down. After that, the patient and Dr. Pruthi worked together to restore her smile to her expectations.


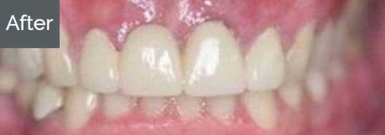
This patient presented to our practice with the chief complaint of the slightly open space between his front two teeth. Dr. Pruthi closed up the diastema over one visit.


This patient's chief complaint was old bonding. Dr. Pruthi placed two porcelain crowns to make the teeth stronger and improve the appearance significantly.



This patient has not been happy with her smile for over 20 years due to chipping of her teeth and crowding. Braces were not an option for her, she said, "being 70 years of age." We did a mockup of her smile and, after a visit to the lab, she was able to have a new smile in 3 weeks.


Our practice is based on preventive bread and butter dentistry. We believe that what nature gave you is better than anything we can do. So, we try to do things as conservatively as possible. This example shows a tooth that got a cavity under a sealant which was placed when the patient was a child. Cavities addressed at this stage result in stronger (due to more enamel to bond to) and more longer lasting fillings. The end result looks like a brand new tooth and that' exactly how our patient felt!


This patient previously had braces and wanted to address her "small teeth." We provided her with a take-home whitening kit and used direct compost bonding to create her new summer smile in a single visit!


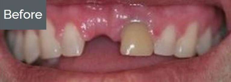
This patient came to our practice after years of not being able to take care of her dental needs. We phased her treatment for a full mouth reconstruction, including removal of hopeless teeth and rehabilitation of the broken down ones.


This patient presented to our office with a chief complaint of a stained tooth. She had some fillings done a long time ago and was generally happy with her smile except for a front tooth with a discolored filling. A simple bonding helped her get the color of her tooth right.





