Desert Foothills Dental
Accepting Patients by Referral at Our New Location at 1345 E Chandler Blvd Suite 121 Phoenix AZ 85048

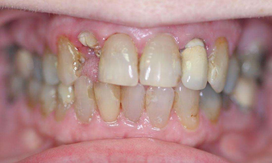
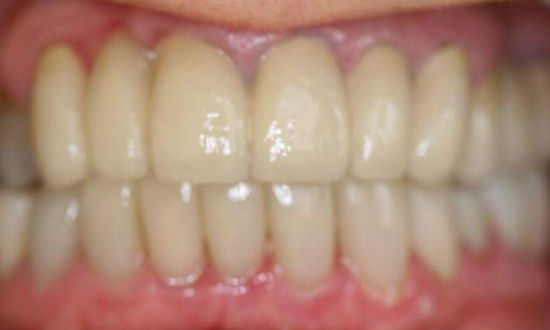
Crown and Bridge Restoration of Smile and Bite

This patient came to our practice after years of not being able to take care of her dental needs. We phased her treatment for a full mouth reconstruction, including removal of hopeless teeth and rehabilitation of the broken down ones. 

Service Performed By:

Dr. Aditya Singh
Improve your smile today – call to schedule a consultation!
If you have difficulty using our website, please email us or call us at (480) 460-1911
View the ADA Accessibility Statement
Privacy Policy