Desert Foothills Dental
Accepting Patients by Referral at Our New Location at 1345 E Chandler Blvd Suite 121 Phoenix AZ 85048

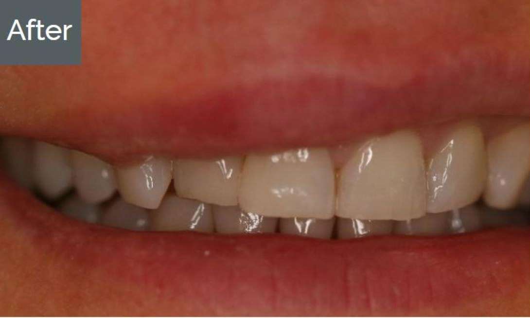
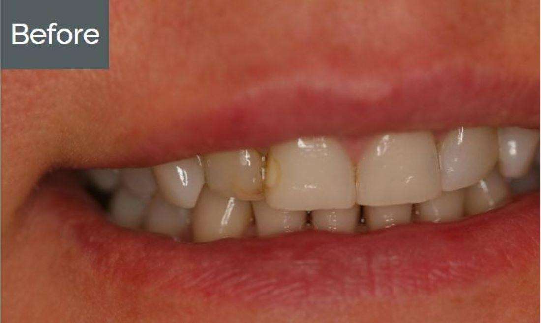
Simple Bonding to Improve Appearance

This patient presented to our office with a chief complaint of a stained tooth. She had some fillings done a long time ago and was generally happy with her smile except for a front tooth with a discolored filling. A simple bonding helped her get the color of her tooth right. 

Service Performed By:

Dr. Aditya Singh
Improve your smile today – call to schedule a consultation!
If you have difficulty using our website, please email us or call us at (480) 460-1911
View the ADA Accessibility Statement
Privacy Policy